關閉
3D電腦斷層微創植牙

病患來時大臼齒已經被拔除三個月以上,專業植牙評估後適合微創植牙。

3D電腦斷層微創植牙

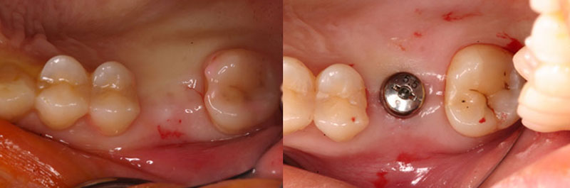
雷射微創植牙不需要翻開牙齦,手術後當天沒有傷口也不需縫合。

3D電腦斷層微創植牙

植牙後八周進行最後假牙裝置及完成照片。

3D電腦斷層微創植牙

單顆植牙不需修磨相鄰健康牙齒,並且植牙後預防骨頭萎縮,咀嚼功能感覺均非常舒服,牙縫可用牙線可以正常清潔。