補骨植牙及角質化牙齦手術
病患:64歲男性。
主訴:右下牙橋鬆動,牙齦萎縮發炎。
診斷
1. 右下小臼齒牙根周圍破壞,骨頭嚴重流失。
2. 右下後牙區,缺乏健康角質化牙齦。
3. 舊牙橋鬆動,牙根蛀牙。
治療計劃:
1. 移除右下搖晃之牙橋;牙周狀況嚴重之小臼齒拔除。
2. 進行角質化牙齦移植手術及補骨手術。
3. 缺牙處植入人工牙根,重新建立完整咬合功能。
主治醫師:戴志翰醫師

病患最初全口X光片。

病患右下排,治療前狀況。

照片顯示此區域牙周破壞嚴重。

移除牙橋與殘根,牙脊明顯萎縮。

牙脊萎縮處進行補骨手術。

完成補骨手術。

進行角質化牙齦移植手術。

牙齦手術完成。

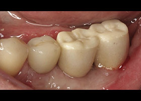
完成補骨手術後的健康牙床。

植入人工牙根於健康的牙床。

配合手術導引板,精準植入理想位置。

完成一階段式手術。

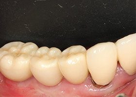
病患恢復健康牙周與牙齒。

病患恢復正常咬合功能。

治療完成之全口X光片。
角質化牙齦增生手術
長期缺牙導致我們的耐磨角質化牙齦嚴重萎縮甚至於消失,需要由專業植牙醫師從我們自己的顎側取一小片牙齦經過顯微手術移植到缺牙牙齦處,等待時間約1-2個月後讓牙齦成功再生角質化牙齦後,再做植牙手術,達到正確且完整的植牙療程增厚牙齦周圍組織 避免牙齦快速萎縮造成植體周圍炎與植體失敗。

植牙區域牙齦萎縮,缺乏健康角質化牙齦。

移植角質化牙齦。

移植後牙齦成功生長再生。

順利植入植體。


