關閉

牙周病患者全口植牙重建

病患:五十歲男性。
主訴:一般診所建議做活動假牙,尋找植牙診所。

 
診斷

病患全口嚴重牙周病,進行植牙及全口重建。

 
治療計劃:

1. 全口牙周病治療。
2. 全口植牙重建。
3. 補骨與鼻竇增高手術。
主治醫師:戴志翰醫師
 

治療前X光片,多處缺牙及嚴重牙周破壞。
治療前X光片,多處缺牙及嚴重牙周破壞。
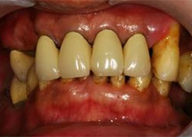
治療前,口內照片。
治療前,口內照片。
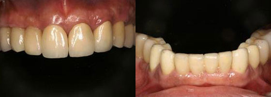
經過一年多牙周病治療與人工植牙重建病患恢復了完整的牙齒。
經過一年多牙周病治療與人工植牙重建病患恢復了完整的牙齒。
病患最終X光片。
病患最終X光片。
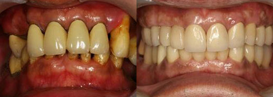
治療前VS.治療後。
治療前VS.治療後。
病患恢復自信笑容。
病患恢復自信笑容。