關閉

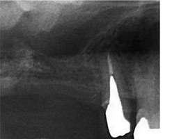
對於上排牙齒植牙處拍攝3D電腦斷層攝影,發現缺牙區的骨頭因為缺牙時間過長導致上頷竇空腔往下降,導致植牙位置的骨頭高度不足,這時就需要植牙專科醫師透過顯微微創鼻竇增高技術 (水壓式鼻竇增高術. 超音波骨刀鼻竇增高術),在缺牙區鼻竇內,放置骨粉增加植牙區域高度來達到完整地放置植體,讓植體與新填充骨粉可以完整的結合。
 

上頷竇微創增高手術
 
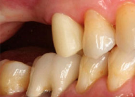
上排缺牙區
上排缺牙區
X光顯示垂直骨頭高度不足
X光顯示垂直骨頭高度不足
植牙合併無敲擊水壓式上頷竇增高術
植牙合併無敲擊水壓式上頷竇增高術
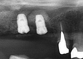
X光片顯示骨頭成功增高
X光片顯示骨頭成功增高
最後裝置假牙
最後裝置假牙
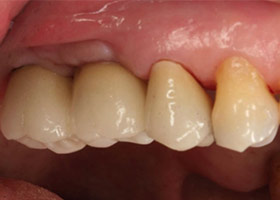
完成照片
完成照片
完成時X光片可看見新生骨頭
完成時X光片可看見新生骨頭