挽救失敗植體
病患:中年婦女。
主訴:在別家診所植牙,植牙失敗造成植牙外露和感染。
診斷
植體牙周炎。
治療計劃:
1. 移除感染植牙。
2. 骨頭再生術+角化牙齦手術。
3. 植入新植牙手術。
主治醫師:戴志翰醫師

治療前,口內照片;植體外露及牙齦萎縮。

治療前X光片,骨頭嚴重吸收。

翻開牙肉,可看見植體週圍骨頭嚴重吸收。

移除感染之植體,解決吸收植體牙周發炎。

重新進行骨頭再生手術。

角質化牙齦,再生手術。

骨頭重新再生。

植入新的植體。

治療後,X光片。

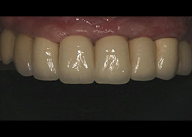
假牙完成,病患恢復健康的角質化牙齦。
挽救失敗植牙
現今台灣的牙科普及到一條路上有2-3家牙科都不為過,但是真正同時具有國內外植牙專科的植牙醫師卻少之又少,然而如果大家的牙科觀念還處在選擇便宜又大碗的停滯階段,往往就有很多所謂失敗不成功的植牙案例,透過專業的植牙醫師來處理一般醫師無法處理的失敗植牙案例,恢復您的自信找回您的笑容。

右上正中門牙植體感染牙齦萎縮。

移除其他診所醫師種植的失敗植體。

骨頭與牙齦重建後,順利植入新的植體。


